사각고정으로 오목가슴 재수술 확률 획기적 감소
인천성모병원 정진용 교수팀, 교정막대 이동 의한 재수술 문제 해결
김정일 기자 jikim@yakup.com 뉴스 뷰 페이지 검색 버튼
입력 2020-01-01 21:33   
오목가슴에 대한 최소침습수술인 너스수술을 시행할 때 삽입하는 막대에 사각고정법을 적용하면 재수술률을 획기적으로 줄일 수 있다는 연구결과가 발표됐다.

가톨릭대학교 인천성모병원 흉부외과 정진용 교수(사진)팀은 너스수술 시 오목가슴 교정용 금속막대 여러 개를 삽입한 후 이들이 움직이는 것을 방지하는 사각고정법을 시행해 재수술 확률을 획기적으로 낮췄다.

1998년 미국에서 시작된 너스수술은 양 옆구리 피부를 1㎝ 정도 절개한 뒤, 활처럼 휜 교정용 금속막대를 갈비뼈 안쪽에 삽입해 함몰된 가슴뼈와 연골을 들어 올려주는 최소침습수술이다. 삽입된 교정막대는 보통 2~3년 후 제거한다.

하지만 너스수술은 교정을 위해 삽입하는 막대의 위치이동(전위)으로 발생하는 수술 실패나 재수술이 고질적인 문제로 지적돼 왔다.

오목가슴은 가슴뼈의 선천성 기형 중 가장 흔한 형태로, 갈비뼈와 가슴뼈 연결 부위인 가슴연골 등이 가슴 안쪽으로 오목하게 들어가 있는 상태를 말한다. 선천적으로 가슴뼈와 연결된 연골 및 늑골의 일부가 움푹하게 함몰된 기형으로 흉통, 호흡곤란, 폐렴, 척추측만증 등을 유발할 수 있다. 약 1000명 중 1명꼴로 나타난다.

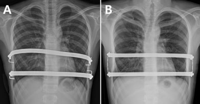
정진용 교수팀은 기존 2개의 교정 막대를 개별적으로 고정하는 ‘분리고정 수술법’(사진A)과, 각 교정 막대 양 끝을 작은 금속 막대로 연결해 사각형 형태로 고정하는 ‘사각고정 수술법’(사진B)의 결과를 비교 분석했다.

정 교수팀은 2011년 9월부터 2016년 1월까지 2개의 금속막대를 삽입한 너스수술 환자 86명을 교정 막대의 양쪽 측면을 각각 고정한 A군(44명, 사진A)과 각 교정 막대를 세로형 막대와 연결해 사각형 형태로 고정 시킨 B군(42명, 사진B)으로 나눴다.

이후 두 그룹의 △오목가슴의 함몰 정도를 나타내는 핼러 지수(HI, Haller Index) △수술 후 교정 막대의 위치변화를 보여주는 막대전위 지수(BDI, Bar Displacement Index) △재수술률 등을 비교했다.

연구결과, 수술 후 A군에서 막대 전위로 재수술한 경우가 6.8%(3명)인 데 반해 B군에서는 재수술이 단 한 건도 없었다. A군과 B군에서 수술 전후 핼러 지수 차이는 나타나지 않았다.

이를 통해 연구팀은 사각고정 방법이 분리고정 수술에 비해 막대 전위를 보다 효과적으로 방지하고, 이로 인한 재수술을 최소화할 수 있다는 결과를 확인했다.

정진용 교수는 “오목가슴 교정을 위해 삽입한 교정 막대의 변위는 심각한 합병증을 초래할 수 있다”며 “너스수술 시 사각고정 수술법을 사용하면 기존의 더블 바를 분리 고정하는 것보다 바의 변위를 보다 효과적으로 방지할 수 있는 것은 물론, 이를 통해 재수술률도 획기적으로 낮출 수 있다”고 말했다.

연구결과는 흉부외과 SCI 국제학술지인 ‘The Thoracic and Cardiovascular Surgeon’에 게재됐다.
전체댓글 0개
    등록된 댓글이 없습니다.