김준 고려대 교수팀·하엘,캔디다증 치료제 미국·유럽·중국 특허 획득
균사형성제어 타깃 항진균제 개발 원천기술..항진균제,화장품,생활용품 개발 적용
캔디다 외 각종 곰팡이,비듬균 생장 억제-병원성 상쇄 등 우수한 항진균 효과 확인
이권구 기자 kwon9@yakup.com 뉴스 뷰 페이지 검색 버튼
입력 2026-04-21 06:00   수정 2026.04.21 06:15
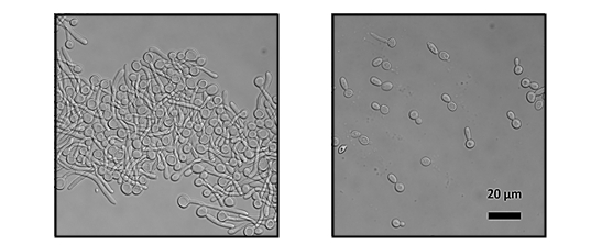
(좌측) 병원성 캔디다균         (우측) 치료제 처리 후 비병원성으로 전환된 병원성 캔디다균 (사진제공= (주)하엘)
 

김준 고려대 교수팀과 바이오 헬스케어 전문기업 ㈜하엘(대표:김준 고려대교수)이 공동 연구개발한 ‘카바졸 화합물을 유효성분으로 포함하는 항진균 조성물’ 국내 특허(10-2093409) 획득 이후  4월 14일 미국특허(17/771,563)를 등록했다.

이번 미국특허는 중국특허(CN 114761007 B, 2025.10.28일)와 유럽특허(20878783.8– 1109/4049659, 26.2.24일)에 이은 세 번째 국제특허로, 김준 교수팀과 하엘은 6개월 만에 주요 거대 거점시장 3곳 국제특허를 모두 획득했다.

연구팀에 따르면 이번에 특허를 획득한 항진균 조성물은 진균감염병 중 치사율 1위로, 한국 여성 75%가 감염 경험이 있는 캔디다질염과, 반복감염에 취약한 것으로 알려진 캔디다 알비칸스(Candida albicans)를 1차 타깃으로 개발됐다. 공동 연구팀은  조성물이 해당 진균에 효과적으로 작용해 항진균제 상용화를 앞당길 것으로 예상하고 있다.

또 이 항진균 조성물은 각종 항진균제와 여성청결제 화장품, 비듬 샴푸, 생활용품 및 진균방부제 등 개발에도 적용될 수 있다고  김준 교수팀은 설명했다.

개발과 국제특허를 이끈 김준 교수는 "30년 이상 진균 및 항진균제 연구 개발에 매진해 왔다"며 "특히 항진균제는 독성과 저항성 등 문제로 개발이 매우 까다로운 것으로 알려져 있고, 항진균제 대부분이  곰팡이의 세포벽 합성에 집중돼 있는데 이번 특허는 그 제약점들을 극복한 세계 첫 ‘균사형성 제어 1차 타깃 항진균제 개발 원천기술’을 확보했다는 점에서 큰 의미가 있다“고 밝혔다,

또 "동물실험에서 주사제 및 구강투여와 기존 항진균제 내성이 있는 균주에도 효과적으로 작용한다"며 "해당 연구를 통해 피페라진(piperizine)을 포함하는 신종화합물이 캔디다균 뿐만 아니라 균사형성 시 병원성을 나타내는 각종 곰팡이 및 비듬균과 같은 다른 진균에 대해서도 생장 억제와 병원성 상쇄 효과를 가지는 등 우수한 항진균 효과를 나타낸 것으로 확인됐다"고 강조했다.

연구팀은 이 가운데 일부는 이미 ‘대한화장품 성분사전’에 등록됐고 화장품 원료로도 개발됐다고 밝혔다. 

전체댓글 0개
    등록된 댓글이 없습니다.