췌장암 신기술 ‘하이푸’ 치료... 독일서 효과 입증
독일 본 대학 연구팀 국제학술지 발표...국내도 ‘췌장 → 간 전이암’ 임상 공개
이권구 기자 kwon9@yakup.com 뉴스 뷰 페이지 검색 버튼
입력 2018-06-13 19:14   수정 2018.06.13 19:15

췌장암에 ‘하이푸(HIFU)’ 치료 효과가 입증됐다.

서울하이케어의원은 독일 본 대학 하이푸센터가 방사선의학 분야 저명한 국제학술지 ‘울트라스콜 인 메드(Ultraschall in med)’에 췌장암’에 ‘하이푸’를 사용했을 때 통증감소와 함께 종양크기가 줄었다는 임상결과를 발표했다고 4월 17일 발표했다고 13일 밝혔다.

이번 연구는 50명의 ‘췌장암’ 환자들에게 진행됐고, 종양크기의 임상적 평가는 의료기기 영상을 통해 확인했으며 통증평가지를 통해 통증평가(통증심각도, 통증 감각, 일상활동제한)를 했다.

연구팀에 따르면 50명의 ‘췌장암’ 환자들을 대상으로 한 임상(종양크기의 임상적 평가는 의료기기 영상을 통해 확인) 결과 84%의 환자에게서 전이상태와 무관하게 ‘하이푸’ 치료로 복부 통증 경감이 나타났다. 이는 추적시에도 지속돼 6주 후 종양크기가 37.8±18.1%로, 6개월 후 57.9±25.9%로 축소됐다.

본 대학 연구팀은 “ 제한된 치료 방법밖에 없는 췌장암 환자들에게 전이 상태와 무관하게 ‘HIFU’는 통증 완화와 함께 시간경과에 따라 종양크기 감소한 결과를 나타냈다”고 보고했다. 특히, 이번 임상데이터에 대해 “생존혜택 추가 가능성을 암시한다”고 결론 내렸다.

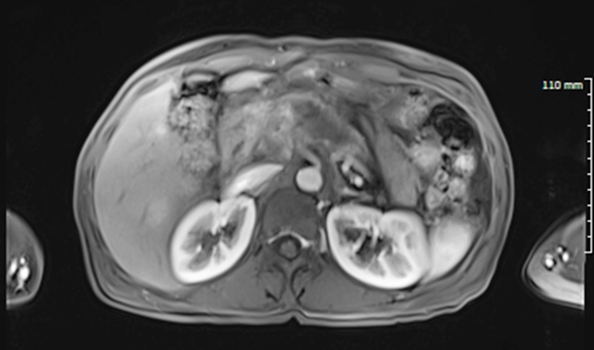
한편, 서울하이케어의원 김태희 원장은 50대 여자의 췌장암에서 간으로 전이된 환자 치료사례를 소개했다. 이 환자는 약 4.5cm 정도의 큰 췌장암이 있었고 간까지 전이됐다.

김태희 원장은 " 전이성 간암과 췌장 부위도 같이 치료했고,  ‘하이푸’ 시술 후 며칠이 지나자 전이성 간암으로 아팠던 우측 복부 통증도 사라지고 ‘췌장암’으로 인한 후복막 통증도 좋아져 누워서 잘 수 있게 됐다"고 설명했다.

‘하이푸(HIFU)’는 국내에서 보건복지부로부터 신의료기술로 등재돼 있으며, 초음파를 한 곳으로 모아 고강도로 암세포에 쏘여 열에 약한 암세포를 파괴하는 원리를 갖고 있다.

전체댓글 0개
    등록된 댓글이 없습니다.