뷰노,의료 AI 솔루션 UAE 군 병원 공급
과기부 -NIPA ‘군 의료 사업’ 일환 중동 지역 내 성과 확대
'뷰노메드 체스트 엑스레이™' 연내 FDA 인허가 획득 추진
이권구 기자 kwon9@yakup.com 뉴스 뷰 페이지 검색 버튼
입력 2024-04-22 08:51   수정 2024.04.22 08:56

의료 인공지능(AI) 기업 뷰노(대표 이예하)는 아랍에미리트(UAE) 국군 병원인 자이드 군 병원(Zayed Military Hospital)에 인공지능 기반 엑스레이(X-ray) 판독 보조 솔루션을 공급했다고 22일 밝혔다.

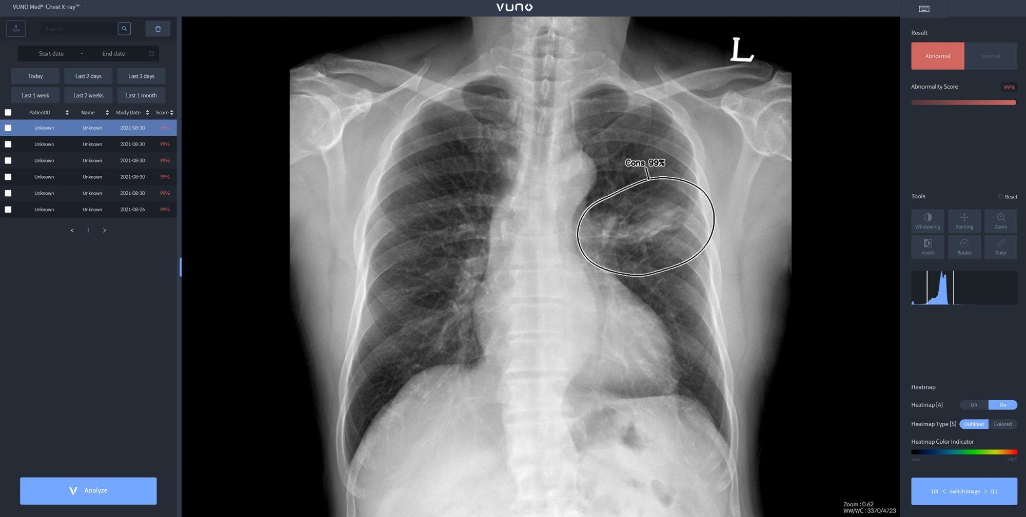
자이드 군 병원에 도입된 솔루션은 이동형 엑스레이 장비에 뷰노 AI 기반 흉부 엑스레이 판독 보조 솔루션 뷰노메드 체스트 엑스레이™(VUNO Med®-Chest X-ray™)를 탑재한 패키지 제품이다. 별도 차폐 시설 없이 다양한 상황에서도 쉽게 환자 흉부 엑스레이 촬영을 할 수 있는 이동형 장비에 인공지능을 연동해 수 초 이내 판독 결과를 확인할 수 있다.

해당 패키지 제품은 뷰노가 과학기술정보통신부 및 정보통신산업진흥원(NIPA)이 추진하는 ‘군 의료영상 데이터 기반 인공지능 판독 시스템 고도화 및 실증 사업(군 의료 사업)’ 일환으로 개발됐다. 격오지를 중심으로 현장 의료 서비스가 가능하도록 설계돼 의료 인프라 낙후 지역에서도 진단 편차를 줄이고, 판독 효율성과 정확도를 높인다.

뷰노는 정부 부처와 협력해 지난 해 11월 우즈베키스탄 국군 중앙병원, 국군 의무학교 등 주요 군 병원 5곳에 제품을 공급하는 등 중동 지역 내 도입 성과를 늘리고 있다.

이외에도 뷰노는 뷰노메드 체스트 엑스레이™ 해외 사업을 지속적으로 강화하고 있다. 글로벌 판매망을 구축한 유수 의료장비 기업들과 B2B 형태 계약을 연이어 체결했다. 또 제품의연내 미국 FDA 인허가 획득을 추진 중이다.

이예하 뷰노 대표는 “정부 부처 지원을 통해 중동 지역 내 뷰노 제품 도입 성과를 꾸준히 늘리며 현지 군 보건의료 서비스 품질 향상에 기여하고 있다”며 “ 뷰노메드 체스트 엑스레이는 올해 하반기 미국 FDA 인허가 획득 등 해외 사업 강화를 위한 주요 모멘텀이 계속 예정돼 있는 만큼 꾸준히 성과를 보일 수 있도록 노력하겠다”고 말했다.

한편, 뷰노메드 체스트 엑스레이™는 흉부 엑스레이 영상에서 결절, 경화, 간질성 음영, 흉수, 기흉 등 주요 이상 소견을 높은 정확도로 탐지하는 인공지능 솔루션이다. 의료진에게 이상소견명과 위치를 제시해 결핵, 폐렴 등 주요 폐 질환 진단을 돕는다.

전체댓글 0개
    등록된 댓글이 없습니다.